Smile Makeover in Palm Harbor, FL
A smile makeover at Still Waters Dentistry is a personalized treatment plan that combines various cosmetic dental procedures to enhance the overall appearance of your smile. Whether it involves teeth whitening, veneers, crowns, or clear aligners®, our experienced team uses advanced techniques to ensure natural-looking, lasting results. Visit us at our New Port Richey, Palm Harbor, or North Tampa locations to discover how a smile makeover can help you achieve your dream smile. Schedule a consultation today to get started!
Enhance Your Smile with a Cosmetic Smile Makeover
At Still Waters Dentistry, our smile makeovers are tailored to combine multiple cosmetic dental procedures to enhance the overall look of your smile. Using advanced techniques and top-quality materials, our skilled team ensures results that are both beautiful and lasting. Visit us at Palm Harbor to explore how a smile makeover can rejuvenate your appearance and boost your confidence. Schedule your consultation today to begin your transformation!

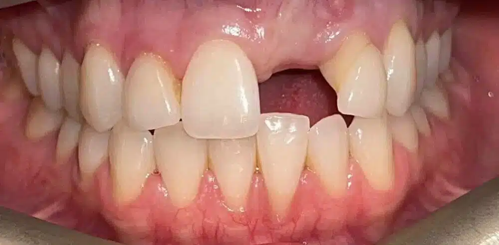
BEFORE

BEFORE

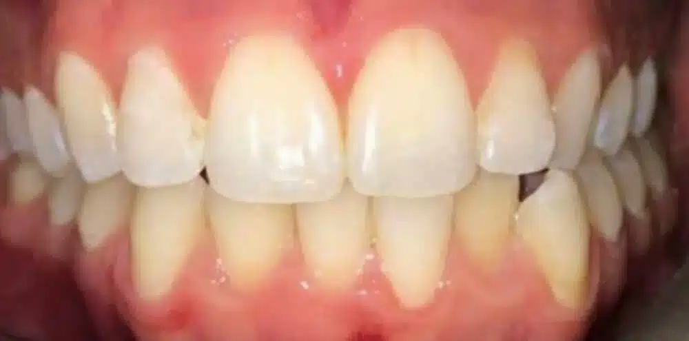
AFTER

AFTER
What is a smile makeover?
A smile makeover is a personalized approach to improving the appearance of your smile, combining various cosmetic dental procedures such as teeth whitening, veneers, crowns, and orthodontics. Each procedure is tailored to meet your unique needs, addressing specific concerns to create a harmonious, beautiful smile. The outcome is not only a stunning smile but also an enhancement of your overall facial aesthetics, boosting your confidence and self-esteem.
How much is a smile makeover?
The cost of a smile makeover can vary based on the combination of treatments selected and the complexity of your individual case. At Still Waters Dentistry, we provide a comprehensive treatment plan and a clear cost estimate during your consultation. Additionally, we offer flexible payment options to help make your smile makeover more affordable and accessible.
How long does a smile makeover take?
The duration of a smile makeover depends on the treatments involved and the complexity of your case. Some procedures, like teeth whitening, can be completed in one visit, while others, such as orthodontic treatments, may take several months. During your consultation, our team at Still Waters Dentistry will develop a personalized treatment timeline, so you know exactly what to expect and how long each step will take.
More Questions?
If you have more questions regarding any treatment you think you may need, or what to expect for an appointment, please contact our office and we will be happy to assist you!
Still Waters Dentistry of Palm Harbor
31980 US-19
Palm Harbor, FL 34684
Hours
Monday: 9:00 a.m. - 5:00 p.m.
Tuesday: 9:00 a.m. - 5:00 p.m.
Wednesday: 9:00 a.m. - 5:00 p.m.
Thursday: 9:00 a.m. - 4:00 p.m.
Friday-Sunday: Closed
Phone
Fax
727-772-1121


